
Os implantes dentários são uma solução moderna e eficaz para a reposição de dentes perdidos. Proporcionam funcionabilidade e estética semelhante aos dentes naturais.
O implante é um pino de metal (titânio) fixado no osso da maxila ou da mandíbula para substituir a raiz de um dente perdido. Funcionam como dentes artificiais e permitem a reposição de dentes e a fixação de próteses fixas e de dentaduras.
Por isso garantem um novo dente com aspecto natural e permite uma mastigação e fala correta. O implante dentário possibilita ao paciente mastigar melhor e proporciona uma ótima estética.
Portanto, se você perdeu um ou mais dentes, agende consulta para fazermos uma avaliação. É muito importante porque quando você perde um ou mais dentes o osso imediatamente começa a se reabsorver e quanto mais cedo tratar, melhores serão os resultados.
Nossa equipe é formada por profissionais altamente especializados e com longos anos de experiência, comprometidos em oferecer tratamentos de alta qualidade e personalizado para cada pessoa.
Nossa tecnologia é de última geração, o que nos garante sempre pleno sucesso. Nosso atendimento é individualizado, adaptado às necessidades, orçamentos e desejos de cada paciente.
Em nossa clínica você terá conforto e segurança e os procedimentos são livres de dor. Nossa missão é melhorar seu sorriso e, até mesmo, a sua auto estima.
Como é feito o protocolo para implante:
AVALIAÇÃO: O tratamento começa com uma avaliação. Na primeira consulta nós vamos ouvir o seu histórico e o seu desejo. È feita uma avaliação da sua saúde bucal e geral, bem como um exame detalhado dos seus dentes e serão solicitados alguns exames.
EXAMES: A inserção de implante requer cuidados especiais, assim, serão solicitados para o planejamento do implante: radiografia panorâmica, radiografias periapicais, tomografia computadorizada, fotografias, entre outros que serão visto se necessário no ato do exame. Para verificar se seu estado de saúde permite que você seja submetido ao ato cirúrgico, serão solicitados exames de sangue como eletrocardiograma, tempo de coagulação e também avaliação da glicemia. Será também avaliada sua pressão sanguínea. De posse desses exames é feito o planejamento cirúrgico para inserção do implante.
DA PRÓTESE SOBRE O IMPLANTE: Quando a estrutura óssea permite, a prótese já pode ser instalada na mesma consulta do implante. Sempre é instalada uma prótese provisória, de modo que você, de qualquer forma, terá seu dente reposto no mesmo dia.
PÓS OPERATÓRIO: As cirurgias de implantes são muito tranqüilas de modo que o pós operatório não exige que você mude suas atividades. A recuperação após a cirurgia é muito rápida: em poucos dias você já estará mastigando normalmente. Você será medicado e orientado sobre os procedimentos e terá acompanhamento constante até quando se fizer necessário. Assim, já começa a aproveitar os excelentes benefícios que o implante dentário proporciona. Já começa a sorrir e se comunicar com mais segurança.
TÉCNICAS DE ÚLTIMA GERAÇÃO:As técnicas usadas por nossa clínica são as mais modernas existentes e todos os procedimentos feitos com o máximo cuidado e segurança. Acompanhamos sempre os últimos avanços científicos da área e somos assessorados por profissionais, todos, doutores na área. Usamos implantes de qualidade assegurada e reconhecida mundialmente, bem como os últimos avanços em termos de cerâmica. São tomados os cuidados para que seus implantes sejam duradouros e desempenhem o papel, além da função mastigatória, de fazer com que você tenha uma face linda e atraente. Procuramos fazer com que os procedimentos sejam indolores para o paciente: Você não sentirá dor para fazer o implante.
ESTÉTICA: Uma das nossas preocupações constantes é fazer que você venha a ter um sorriso bonito e estético, que embeleze mais sua face e transmita aquele ar de simpatia. Um sorriso mais brilhante e atraente que pode até aumentar sua auto-confiança e auto-estima.
PROTOCOLO SOBRE IMPLANTE DENTÁRIO
Como descrevemos no início, os implantes dentários são uma solução moderna e eficaz para a reposição de dentes perdidos, proporcionando funcionalidade e estética similares aos dentes naturais.
Chamamos protocolo dentário quando as dentaduras (próteses totais) são fixadas sobre implantes.
Podem ser usados quatro ou mais implantes para cada arcada dentária. As dentaduras são fixas e a superior fica livre do acrílico no céu da boca. Na nossa clínica, seguimos um protocolo rigoroso que garante segurança, previsibilidade e sucesso a longo prazo. Confira as principais etapas do processo:
1. Avaliação Inicial
O processo começa com uma avaliação completa do paciente, incluindo:
2. Planejamento Personalizado
Cada caso é único, e o planejamento é feito com base nas necessidades e condições de cada paciente:
3. Fase Cirúrgica
A cirurgia é realizada por profissionais especializados, utilizando técnicas modernas e materiais de alta qualidade:
4. Recuperação e Cuidados Pós-Operatórios
Após o procedimento, oferecemos todo o suporte necessário para uma recuperação tranquila:
5. Fase Protética
Com a integração óssea concluída, iniciamos a etapa protética:
6. Manutenção e Acompanhamento
O sucesso a longo prazo dos implantes depende de cuidados contínuos:
Na nossa clínica, priorizamos o bem-estar e a satisfação dos nossos pacientes, oferecendo soluções personalizadas e tecnologicamente avançadas. Agende uma consulta e descubra como podemos transformar o seu sorriso através dos implantes dentários!
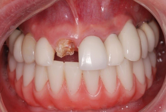
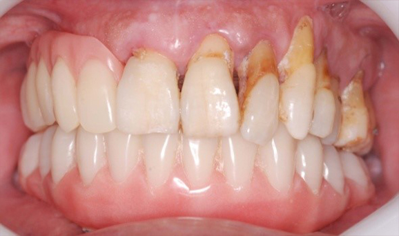
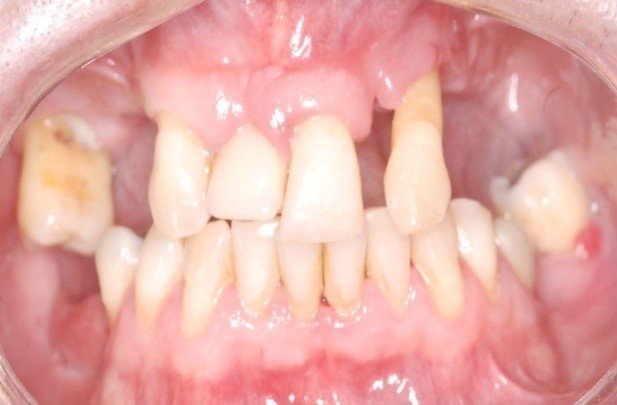
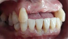
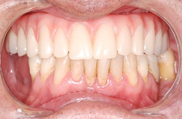
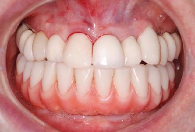
CASOS CLÍNICOS
INÍCIO DO TRATAMENTO
FIM DO TRATAMENTO